Analogías Comparativas del Síndrome Policompartimental Humano con el Cerdo de Laboratorio (Sus scrofa)

Autores/as

DOI:

https://doi.org/10.26457/mclidi.v4i2.1426

Palabras clave:

Síndrome Compartimental, Síndrome Policompartimental, modelo porcino, presión intraabdominal, asfixia,

Resumen

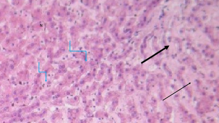
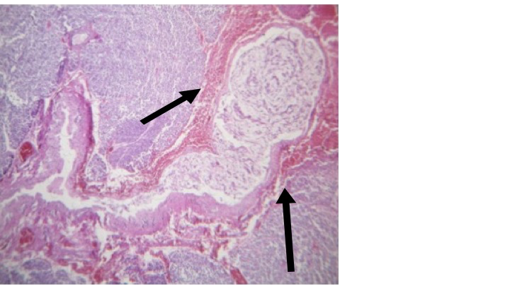
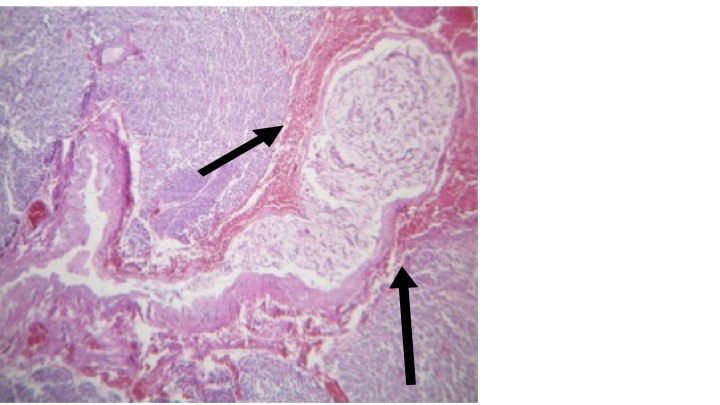
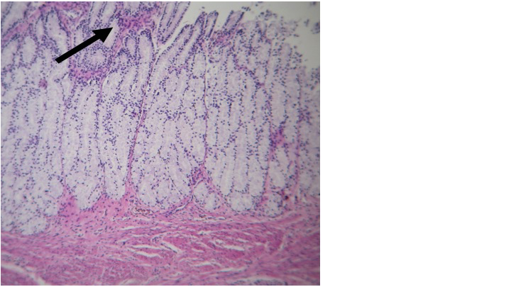
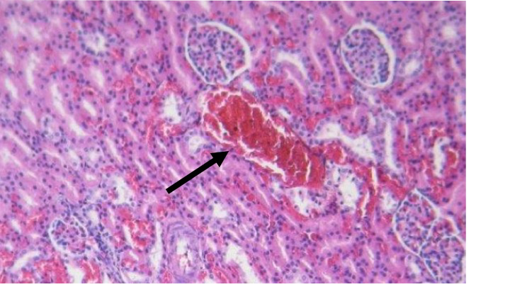
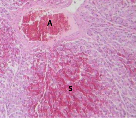
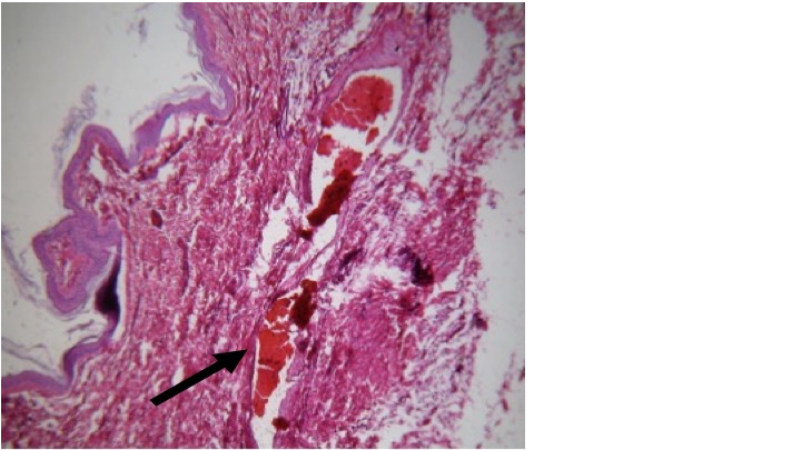
El Síndrome Compartimental Abdominal (SCA) y la Hipertensión Intraabdominal (HIA) son conocidos desde los estudios tempranos del Siglo XIX en Francia, como entidades patológicas que ponen en riesgo la vida derivado de graves eventos deletéreos afectando las extremidades o el abdomen, estructuras bien delimitadas por las fascias o bien cavidades óseas que inesperadamente sufren un aumento drástico de su presión interna. El objetivo de este trabajo fue investigar las notables analogías morfofisiopatológicas que caracterizan a esta condición, y correlacionarlas como base diagnóstica contra dos casos clínicos espontáneos de SCA observados en cerdos híbridos de la raza Landrace-Yorkshire de 5 meses de edad, que posterior a sus intervenciones quirúrgicas muriesen en forma hiperaguda por asfixia con datos de tipo Síndrome Policompartimental (SPC).   A la inspección clínica inicial se observó eritema facial diseminado, extensa hemorragia subconjuntival, epistaxis, marcada distensión abdominal con dehiscencia de la herida quirúrgica previa y evisceración masiva en un caso, así como moderada en el segundo animal, presentando ambos sujetos prolapso rectal y aparente necrosis de mucosa. Los hallazgos de histopatología revelaron cambios multiorgánicos focales pero graves afectando órganos internos con isquemia, dilatación y congestión. Se postula que debido a la asfixia repentina y la naturaleza hiperaguda de las lesiones encontradas, ello explica una disfunción multiorgánica circunspecta consistente con hallazgos de casos descritos de SPC tanto en modelos animales inducidos como en casos graves de eventualidades humanas. Finalmente, se postula que esta investigación analógica ilustró cómo un caso espontáneo de SPC cumplió con criterios diagnósticos internacionalmente aceptados para esta condición humana, representando en el caso del cerdo un modelo animal inducido asequible que permitirá enriquecer la investigación del SPC, una rareza que a nuestro juicio nunca se había reportado como ocurrencia espontánea en un animal de laboratorio.

Descargas

Los datos de descargas todavía no están disponibles.

Biografía del autor/a

José Gerardo Arroyo del Castillo, Universidad la Salle

Médico Pasante del Servicio Social. 

Facultad Mexicana de Medicina de la Universidad la Salle. 

Gabriel Carrillo Marhx, Universidad la Salle

Médico General

Silvia Jiménez Becerra, Instituto Nacional de Cardiología Ignacio Chávez

Adscrita al servicio de Anátomía Patológica

Instituto Nacional de Cardiología Ignacio Chávez

Abilene Cirenia Escamilla Ortiz, Universidad la Salle

Cirujana General Adscrita

Instituto de Seguridad y Servicios Sociales de los Trabajadores de Estado

Félix Eduardo Tena Betancourt, Universidad la Salle

Jefe del Serivio de Bitoerio y Cirugía Experimental

Universidad la Salle

Citas

[1] T.S. Papavramidis, A.D. Marinis, I. Pliakos, I. Kesisoglou, N. Papavramidou. “Abdominal compartment syndrome – Intra-abdominal hypertension: Defining, diagnosing, and managing,” Journal of Emergencies, Trauma and Shock, vol. 4, no. 2, pp. 279-291, 2011.

[2] A. Zúñiga-Vargas, “Síndrome compartimental abdominal,” Revista Médica de Costa Rica y Centroamérica, no. 70, vol. 605, pp. 49-53, 2013.

[3] J. Bailey, M.J. Shapiro, “Review. Abdominal compartment síndrome,” Critical Care, vol. 4, pp. 23–29, 2000.

[4] J. Donalson, B. Haddad, W.S. Khan. “The Pathophysiology, diagnosis and current management of acute compartment syndrome,” The Open Orthopaedics Journal, vol. 8, no 1, pp. 185-193, 2014.

[5] C. Willy, P. Schneider, M. Engelhardt, A.R. Hargens, S.J. Mubarak. “Richard von Volkmann. Surgeon and Renaissance Man,” Clinical Orthopaedics Related Research, no. 466, pp. 500–506, 2008.

[6] L. N. Diebel, S.A. Dulchavsky, W.J. Brown. “Splanchnic Ischemia and Bacterial Translocation in the Abdominal Compartment Syndrome,” Journal of Trauma-Injury Infection & Critical Care, vol. 43, no.5, pp. 852-855, 1997.

[7] M.L.N.G. Malbrain, ML. Cheatham, A. Kirkpatrick, “Results from the international conference of experts on intra-abdominal hypertension and abdominal compartment syndrome. Definitions,” Intensive Care Medicine, vol. 32, no. 11, pp. 1722-1732, 2006.

[8] C. Toens, A. Schachtrupp, J. Hoer, K. Hunge, B. Klosterhalfen, V. Schumpelick, “A porcine model of the abdominal compartment syndrome,” Shock, vol. 18, pp. 216-321, 2002.

[9] N. Oyster, M. Witt, B. Gharaibeh , M. Poddar, J. Schneppendahl, J. Huard, “Characterization of a Compartment Syndrome-like Injury Model,” Muscle Nerve, vol. 51, no. 5, pp. 750–758, 2015.

[10] P. Prodhan, et al, “Orbital Compartment Syndrome Mimicking Cerebral Herniation in a 12-Yr-Old Boy With Severe Traumatic Asphyxia,” Pediatric Critical Care Medicine, vol. 4, no. 3, pp. 367-369, 2003.

[11] M.L.N.G. Malbrain, “A new concept: the polycompartment syndrome – Part 1,” International Journal of Intensive Care, pp.18-24, 2008.

[12] M.L.N.G. Malbrain, D.J. Roberts, M. Sugrue, B.L. De Keulenaer, R. Ivatury, P. Pelosi, F.Verbrugge, R.Wise, W. Mullens, “The polycompartment syndrome: a concise state-of-the-art review,” Anestezjologia Intensywna Terapia, vol. 46, no. 5, pp. 449–466, 2014.

[13] R. Carrillo, S. Salinas, Ma. de los Ángeles Téllez, “Síndrome de compartimiento abdominal en el enfermo grave”, Revista de la Facultad de Medicina UNAM, vol. 44 no. 1, 2001.

[14] J.M. Burch, E.E. Moore, F.A. Moore, “The abdominal compartment syndrome.” Surgical Clinics of North America, vol. 76 no. 833. 1996.

[15] J. Sáenz Medina, M.S. Asuero de Lis, C. Correa Gorospe, B. Cuevas, V. Gómes Dos Santos, A.I. Linares Quevedo, A. Páez Borda, I. Castillón Vela, R. Marcén Letosa, J. Pascual Santos, F.J. Burgos Revilla, “Modelos experimentales para la investigación y el entrenamiento en trasplante renal”, Actas Urológicas Españolas, vol. 32, no. 1, pp. 83-90, 2008.

[16] F. Díaz, A. Donoso, C. Carvajal, “Consecuencias hemodinámicas y respiratorias del síndrome compartimental abdominal en un modelo experimental”, Revista Chilena Pediátrica, vol. 83, no. 5, pp. 454-461. 2012.

[17] L. Correa-Martína, G. Castellanos, M. García, F.M. Sánchez-Margalloitia, “Consecuencias renales de la hipertensión intraabdominal en modelo porcino”, Actas Urológicas Españolas, vol. 13, no. 5, 2013.

[18] L. Corea-Martin, E. Párraga, F.M. Sánchez-Margallo, R. Latorre, O. López-Albors, R. Wise, et al. “Mechanical Intestinal Obstruction in a Porcine Model: Effects of Intra-Abdominal Hypertension. A Preliminary Study,” PLoS One, vol.11, no. 2, pp. 1-15, 2016.

[19] F. Díaz, A. Donoso, C. Carvajal, “Consecuencias hemodinámicas y respiratorias del síndrome compartimental abdominal en un modelo experimental”, Revista Chilena Pediátrica, vol. 83, no. 5, pp. 454-461. 2012.

[20] HowMed. Forensic Medicine and Toxicology. Disponible en: http://howmed.net/forensic/asphyxia-and-its-types/. Citado: [28 de junio de 2017].

[21] Rao D. Forensic Pathology. Disponible en: http://www.forensicpathologyonline.com/e-book/asphyxia. Citado: [28 de junio de 2017].

[22] M. Alonso-Spilsbury, D. Mota-Rojas, D. Villanueva-García, J. Martínez Burnes, H. Orozco, R. Ramírez-Necoechea, A. López Mayoagoitia, M.E. Trujillo, “Perinatal asphysia pathophysiology in pig and human: A review,” Animal Reproduction Science, vol. 90, pp. 1-30, 2005.

[23] K.G.B. Elliott, A.J. Johnstone, “Diagnosing Acute Compartment Syndrome”,” The Journal of Bone & Joint Surgery, vol. 85, no. 5, pp.625-632, 2003.

[24] P. Betz, G. Beier, W. Eisenmenger, “Pulmonary giant cells and traumatic asphyxia”, International Journal of Legal Medicine, no. pp. 258-261, 1994.

[25] D.C. Sabiston, C.M. Townsend, “Abdomen Agudo”, en “Tratado de cirugía, fundamentos biológicos de la práctica quirúrgica moderna.” 19ª edición, Barcelona, España, Elsevier, 2013, cap. 19, sec. III, pp. 471-479.

Descargas

Publicado

2018-03-02

Cómo citar

Arroyo del Castillo, J. G., Carrillo Marhx, G., Jiménez Becerra, S., Escamilla Ortiz, A. C., & Tena Betancourt, F. E. (2018). Analogías Comparativas del Síndrome Policompartimental Humano con el Cerdo de Laboratorio (Sus scrofa). Memorias Del Concurso Lasallista De Investigación, Desarrollo E innovación, 4(2), CS 37–41. https://doi.org/10.26457/mclidi.v4i2.1426

Número

Sección

Ciencias de la Salud

Artículos similares

1 2 3 4 5 6 7 8 9 > >> 

También puede Iniciar una búsqueda de similitud avanzada para este artículo.