Revista del Centro de Investigación de la Universidad La Salle
Vol. 17, No. 65, Enero-Junio, 2026: 4373
Duplicación intestinal en un recién nacido: Reporte de un caso
Intestinal duplication in a newborn: A case report
José Luis Verástegui-Rodríguez1, Ma. Del Carmen Madrigal-Ramírez2, David Rojano-Mejía3, Bladimir Roque Ramírez4.
1 Hospital General “Dr. Donato G. Alarcón”, Acapulco, Guerrero(México)
2 Departamento de Pediatría, Hospital General de Ayutla de los Libres, Guerrero (México)
3 Coordinación de Investigación en Salud, Instituto Mexicano del Seguro Social (IMSS), Ciudad de México (México)
4 Laboratorio de Nutrigenética y Nutrigenómica, Instituto Nacional de Medicina Genómica (México)
Autor de correspondencia: broque@inmegen.gob.mx
Recibido: 21 de noviembre de 2024 | Aceptado: 21 de abril de 2025 | Publicado: 10 de noviembre de 2025|
Copyright © 2025 “Bladimir Roque Ramírez, Ma. Del Carmen Madrigal-Ramírez, David Rojano-Mejía &José Luis Verástegui-Rodríguez” This is an open access article distributed under the Creative Commons Attribution License, which permits unrestricted use, distribution, and reproduction in any medium, provided the original work is properly cited.
Resumen
Introducción: Las duplicaciones gastrointestinales son anomalías congénitas raras que se presentan en todo el tracto gastrointestinal (TGI) con una prevalencia de 1 en 5000 nacidos vivos. Estas patologías suelen presentar náuseas, vómito, hemorragia digestiva, perforaciones y obstrucción intestinal que pueden comprometer la vida del paciente desde edad muy temprana, representando un desafío diagnóstico y terapéutico. Caso clínico: Recién nacido (RN) masculino de 2 días de vida, a la exploración física se presenta febril, irritable, con distensión abdominal y peristalsis disminuida. La Tomografía Computada (TC) mostró dilatación de asas del intestino delgado. A la exploración quirúrgica se encontró duplicación íleon terminal de tipo tubular. Conclusiones: La clínica y las pruebas complementarias fueron insuficientes para llegar a un diagnóstico certero, la intervención quirúrgica encontró y eliminó la duplicación intestinal íleon terminal.
Palabras clave: Duplicación intestinal, distensión abdominal, íleon, resección.
Abstract
Introduction: Gastrointestinal duplications are rare congenital anomalies that occur throughout the gastrointestinal tract (GIT) with a prevalence of 1 in 5000 live births. These pathologies usually present nausea, vomiting, digestive bleeding, perforations and intestinal obstruction that can compromise the patient’s life from a very early age, representing a diagnostic and therapeutic challenge. Clinical case: 2-day-old male newborn (NB), on physical examination appears feverish, irritable, with abdominal distension and diminished peristalsis. Computed tomography (CT) showed loops of distended small bowel. Surgical exploration revealed a tubular-type terminal ileum duplication. Conclusions: The clinic and the complementary tests were insufficient to reach an accurate diagnosis; the surgical intervention found and eliminated the ileum terminal intestinal duplication.
Keywords: Intestinal duplication, abdominal distension, ileum, resection.
Introducción
La duplicación del tracto gastrointestinal (TGI) es una anomalía congénita rara que se presenta principalmente en infantes en los primeros 2 años de vida con una incidencia de 1:5000 recién nacidos vivos (Guérin et. al., 2012; Ramakrishna, 2008). Las duplicaciones del íleon son las más frecuentes (57%) y se dividen en dos tipos: quísticas o tubulares que pueden tener conexión con el tubo digestivo y ubicarse del lado mesentérico (Li L, 1998). Existen varias teorías sobre el origen de las duplicaciones, todas convergen en que la falla se origina en estadios embrionarios entre la 4ta y 8va semana del desarrollo (Lewis y Thyng, 1908; Qi, Beasley y Williams, 2001). Las manifestaciones clínicas de la duplicación intestinal varían de acuerdo con la región del TGI en la que se presente la anomalía., Entre los síntomas más frecuentes se incluyen náuseas, vómito, dolor abdominal recurrente, presencia de masa abdominal palpable, hemorragia digestiva, perforación y obstrucción intestinal. Estos hallazgos pueden explicarse por diversos mecanismos fisiopatológicos, como el efecto de masa debido a la compresión del intestino o estructuras adyacentes, la secreción anormal de enzimas digestivas por parte de la mucosa heterotípica, que puede ocasionar sangrado y perforación intestinal, la acumulación de líquido en las duplicaciones quísticas con riesgo de infección o rotura, así como complicaciones mecánicas como la obstrucción o intususcepción. Estos mecanismos justifican la amplia variedad en la presentación clínica, que puede oscilar desde casos asintomáticos hasta cuadros agudos con obstrucción intestinal y hemorragia digestiva (Ramakrishna, 2008). El diagnóstico de la duplicación intestinal se establece, en primera instancia, a partir de la sospecha clínica basada en manifestaciones como el dolor abdominal, presencia de una masa palpable, hemorragia digestiva u obstrucción intestinal, Posteriormente, se confirma mediante estudios de imagen, entre los que destacan la ecografía, tomografía computarizada (TC) , o resonancia magnética (RM) los cuales permiten identificar la presencia de la duplicación intestinal y caracterizar sus aspectos morfológicos. Finalmente, el diagnóstico definitivo se obtiene a través de la resección quirúrgica y el análisis histopatológico de la lesión, que confirman la naturaleza de la anomalía (Ludwig et.al., 2022; Olajide et. al., 2010).
El tratamiento de la duplicación intestinal generalmente implica la resección quirúrgica completa de la duplicación para evitar complicaciones, los métodos quirúrgicos incluyen cirugía abierta y cirugía mínimamente invasiva, como la laparoscopia. La elección del Método depende de la ubicación, tamaño y tipo de la duplicación, así como de las estructuras adyacentes (Grant y Kennedy, 2022).
El objetivo de este artículo es reportar el hallazgo de una duplicación intestinal de íleon terminal en un RN prematuro tardío y la corrección de la anomalía por intervención quirúrgica.
1. Caso clínico
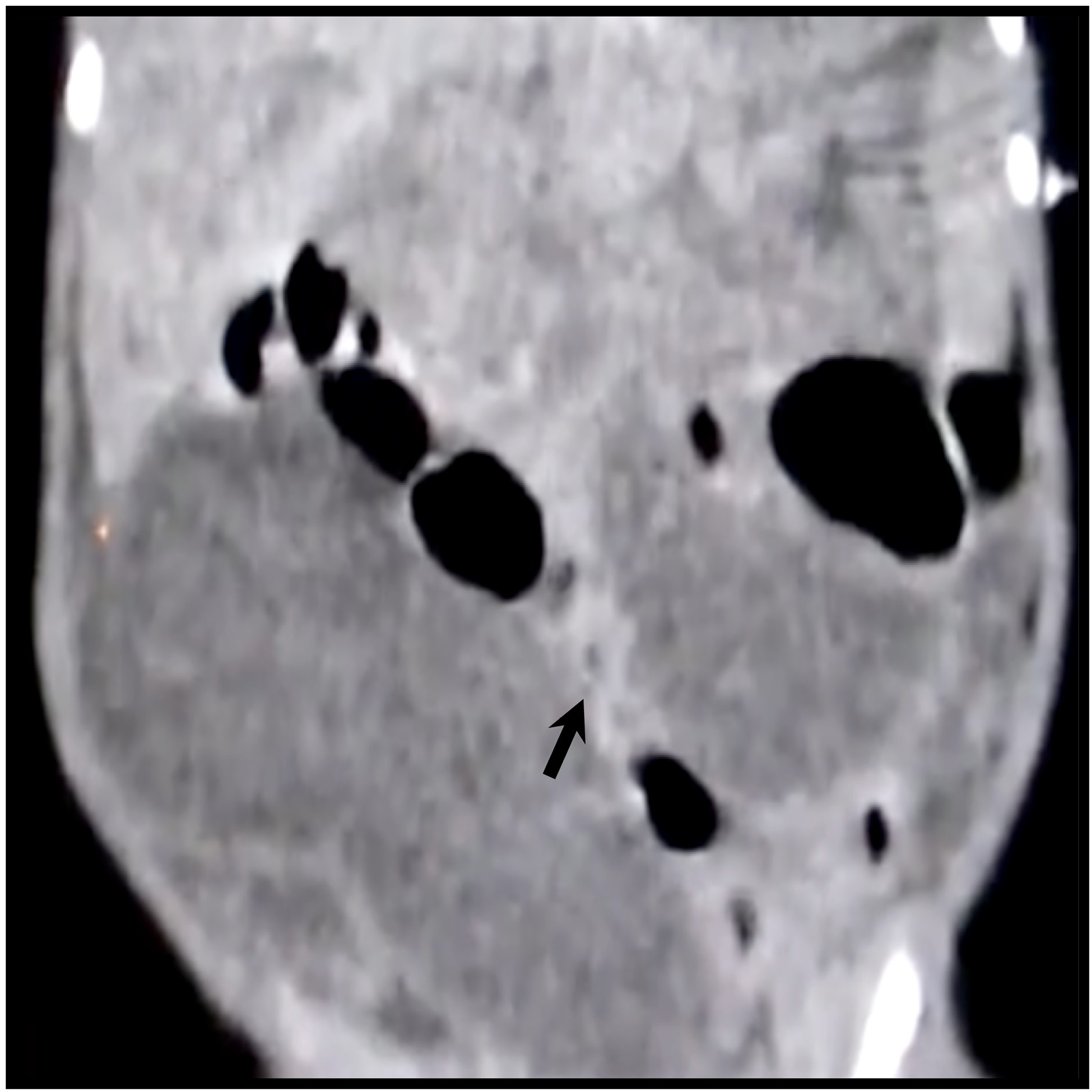
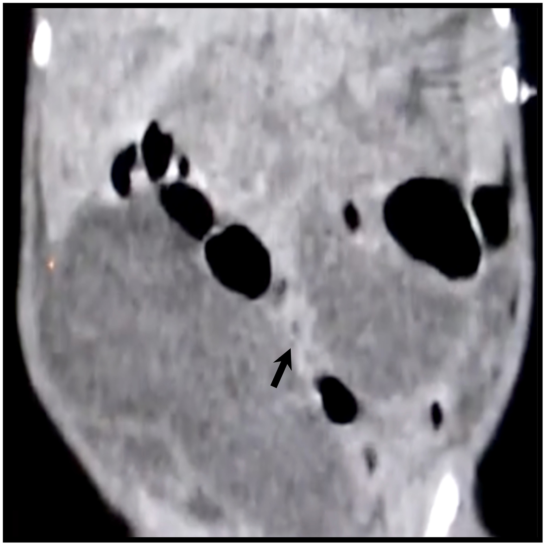
RN masculino de 2 días de vida, prematuro tardío producto de la G:1, madre de 21 años, prenatal 5/9, infección de vías urinarias en el tercer trimestre y cervicovaginitis repetitivas, cultivo de exudado vaginal positivo a Garderella vaginalis y urocultivo positivo a Staphilococcus hominis sin tratamiento. Se obtiene producto por eutocia con peso de 2700gr, talla 51 cm, Apgar 9/9 y prueba de Silverman Anderson: 0, egresado de alojamiento conjunto. Ingresa al servicio de urgencias con cuadro caracterizado por irritabilidad, febril, distensión abdominal, dibujo de asas intestinales y constipación de dos días de evolución. A la exploración física el paciente se muestra febril, irritable, con deshidratación leve, distensión abdominal importante, dibujo de asas, dolor a la palpación superficial, peristalsis disminuida, percusión timpánica y se tomó temperatura rectal con resistencia a la introducción. Los estudios complementarios de hemograma con reporte de leucocitosis, neutrofilia, eosinofilia y monocitosis. La ecografía abdominal mostró hidronefrosis bilateral, íleo reflejo, escaso liquido libre en espacio de Morrison y asas intestinales muy dilatadas. En el estudio radiológico se aprecia mala distribución de aire, pero no se observa dilatación intestinal ni se aprecia imagen de atresia duodenal. En la Tomografía Computada (TC) se observa importante dilatación de asas del intestino delgado (Figura 1).
Se realizó cirugía de urgencia por sospecha de obstrucción intestinal. Se observó duplicación intestinal de tipo tubular en íleon terminal a 70 cm de la válvula ileocecal. El segmento duplicado fue de 70 cm de longitud, con perforación en dos porciones. La obstrucción intestinal se presenta por compresión del intestino adyacente. Se realiza evisceración intestinal, liberación y resección selectiva de la pared anterior y mucosa intestinal del segmento adyacente, preservando la irrigación de la porción del íleon duplicado (Figura 2). La histopatología reveló enteritis necrótica hemorrágica, confirmando la duplicación intestinal (Figura 3). El postoperatorio: UCIN, nutrición parenteral por 8 días y antibioticoterapia. El paciente fue dado de alta con una función intestinal recuperada.
Figura 1
Reconstrucción coronal de TC simple de abdomen

Nota. Se observa importante dilatación de asas del intestino.
Figura 2
Procedimiento quirúrgico

Nota. (A, B y C) Duplicación intestinal tubular. (D) Resección de la duplicación de la pared anterior y mucosa intestinal. (E) Desprendimiento de la porción tubular. Las flechas señalan la duplicación intestinal del íleon terminal durante el procedimiento quirúrgico (A-E).
Figura 3
Diagnóstico histológico

Nota. La tinción de hematoxilina-eosina revela una enteritis necrótica hemorrágica (flecha).
2. Discusión
La duplicación del TGI son muy raras y pueden localizarse a lo largo de todo el tracto digestivo, las de íleon se dividen en quísticas o tubulares y pueden tener comunicación con el tubo digestivo. Clínicamente los pacientes pueden presentar dolor, obstrucción intestinal por compresión del intestino adyacente, hemorragia gastrointestinal por ulceración, distrés respiratorio si la duplicación es intratorácica o pueden ser completamente asintomática (Oudshoorn, 1996). La etiología de las duplicaciones intestinales se desconoce, aunque las teorías convergen en que la falla se origina en estadios embrionarios durante la morfogénesis del TGI (Lewis y Thyng, 1908; Qi, Beasley y Williams, 2001). Sin embargo, no se descarta el aporte genético y un gen candidato es Cdx2. En un modelo murino, se ha observado que la deficiencia de este gen desarrolla duplicaciones que incluyen segmentos del TGI, sugiriendo a Cdx2 como un posible causante de algunas de las duplicaciones observadas en humano (Tamai et. al., 1999).
Las duplicaciones intestinales del íleon son las mas frecuentes del TGI, Bower y cols (Bower, Sieber y Kiesewetter, 1978), reportan una frecuencia del 35.8% en 64 pacientes que desarrollaron 78 duplicaciones, por su parte Ildstad y cols. reportaron un 23% de frecuencia en 17 pacientes con 20 duplicaciones (Ildstad et. al., 1988), mientras que Holcomb y cols. reportan que de 101 duplicación gastrointestinales encontradas en 96 pacientes, las de íleon representan el 34.6% (Holcomb et. al., 1989), Solares-Oliveira reporta 18 casos con un 78% de duplicaciones en íleon (Soares-Oliveira et. al., 2002), y un trabajo retrospectivo de 114 casos muestra un 61% de duplicación localizadas en íleon (Guérin et. al., 2012).
En nuestro caso, los estudios de imagen solo orientaron a patología obstructiva intestinal. El diagnóstico definitivo fue por hallazgo quirúrgico: Duplicación intestinal tubular de 70cm, con localización en íleon terminal de tipo 1B acorde a la clasificación de Li y cols. (Li, Jin-Zhe y Yan-Xia, 1998) (Tabla 1), que se caracteriza por ser una duplicación extra mesentérica meso común con el meso intestinal. En este caso, la obstrucción se presenta por compresión del intestino adyacente que explica la presencia de asas dilatadas observadas en la ecografía intestinal. Adicionalmente, para el tamaño de la duplicación (70 cm) se recomienda resección selectiva preservando la irrigación sanguínea intestinal.
Tabla 1
Clasificación de las duplicaciones intestinales
|
TIPO |
DESCRIPCIÓN |
|
|
1 |
a |
Extramesentérica: Meso independiente del meso intestinal |
|
b |
Extramesentérica: Meso común con el meso intestinal |
|
|
c |
Extramesentérica: Unida al intestino por una pared muscular común |
|
|
2 |
a |
Intramesentérica: Pared de la duplicación separada de la pared intestinal |
|
b |
Intramesentérica: Unida al instestino por una pared muscular común |
|
La resección de la porción duplicada fue exitosa y el paciente se recuperó adecuadamente. La histopatología confirmó la duplicación mostrando la estructura característica del intestino delgado (Vellosidades intestinales) que además cursaba por un proceso de enteritis necrótica hemorrágica posiblemente en respuesta al contenido intestinal que ocasionaba la obstrucción.
Finalmente, sería interesante verificar si existe algún polimorfismo de un solo nucleótido (SNP, por sus siglas en ingles) en el cuerpo del gen CDX2 o en alguna región reguladora de su secuencia promotora que afecte específicamente su expresión en el TGI, avanzar en este sentido ayudaría a comprender la etiología de las duplicaciones intestinales y en un futuro a prevenirlas.
3. Conclusión
Debido a que las duplicaciones intestinales son raras, es difícil diagnosticarlas y deben descartarse otras patologías antes de pensar en una intervención quirúrgica. Inicialmente la clínica y las pruebas complementarias fueron insuficientes para llegar a un diagnóstico certero, la intervención quirúrgica encontró y eliminó la duplicación intestinal en íleon terminal exitosamente reestableciéndose el tránsito intestinal adecuadamente. El paciente fue dado de alta con una función intestinal recuperada.
Referencias
Bower RJ, Sieber WK, Kiesewetter WB. Alimentary tract duplications in children. Ann Surg. 1978;188(5):669.
Grant Morris, Alfred Kennedy, Small Bowel Congenital Anomalies: A Review and Update, Surgical Clinics of North America, Volume 102, Issue 5, 2022, Pages 821-835,
Guérin F, Podevin G, Petit T, Lopez M, de Lagausie P, Lardy H, et al. Outcome of alimentary tract duplications operated on by minimally invasive surgery: a retrospective multicenter study by the GECI (Groupe d’Etude en Coeliochirurgie Infantile). Surgical endoscopy. 2012;26(10):2848-55.
Holcomb 3rd G, Gheissari A, O’Neill Jr JA, Shorter NA, Bishop HC. Surgical management of alimentary tract duplications. Ann Surg. 1989;209(2):167.
Ildstad ST, Tollerud DJ, Weiss RG, Ryan DP, McGowan MA, Martin LW. Duplications of the alimentary tract. Clinical characteristics, preferred treatment, and associated malformations. Ann Surg. 1988;208(2):184-9.
Lewis FT, Thyng FW. The regular occurrence of intestinal diverticula in embryos of the pig, rabbit, and man. American Journal of Anatomy. 1908;7(4):505-19.
Li L, Jin-Zhe Z, Yan-Xia W. Vascular classification for small intestinal duplications: Experience with 80 cases. Journal of pediatric surgery. 1998;33(8):1243-5.
Ludwig K, De Bartolo D, Salerno A, Ingravallo G, Cazzato G, Giacometti C, Dall’Igna P. Congenital anomalies of the tubular gastrointestinal tract. Pathologica. 2022 Feb;114(1):40-54.
Olajide AR, Yisau AA, Abdulraseed NA, Kashim IO, Olaniyi AJ, Morohunfade AO. Gastrointestinal duplications: Experience in seven children and a review of the literature. Saudi J Gastroenterol. 2010 Apr-Jun;16(2):105-9.
Oudshoorn J, Heij H. Intestinal obstruction caused by duplication of the caecum. European journal of pediatrics. 1996;155(4):338-40.
Qi BQ, Beasley SW, Williams AK. Evidence of a common pathogenesis for foregut duplications and esophageal atresia with tracheo‐esophageal fistula. The Anatomical Record: An Official Publication of the American Association of Anatomists. 2001;264(1):93-100.
Ramakrishna H. Intestinal duplication. Indian Journal of Surgery. 2008;70(6):270.
Soares-Oliveira M, Castañón M, Carvalho J, Ribo J, Bello P, Estevao-Costa J, et al. Duplicaciones intestinales. Análisis de 18 casos. Anales de Pediatría. 2002;56(5):430-3.
Tamai Y, Nakajima R, Ishikawa T-o, Takaku K, Seldin MF, Taketo MM. Colonic Hamartoma Development by Anomalous Duplication in Cdx2Knockout Mice. Cancer research. 1999;59(12):2965-70.